Post-Covid-19 Acute Disseminated Encephalomyelitis (ADEM) in a 27-year-old girl: Case Report
Abstract
Acute disseminated encephalomyelitis (ADEM) is a monophasic, multifocal, demyelinating, autoimmune disease that affects the central nervous system (CNS). It usually occurs after a systemic infection, usually viral, including certain coronavirus infections. A 27-year-old girl presented with complaints of left interscapular pain, paresthesias and weakness in the ipsilateral upper limb. These symptoms followed paresthesias on the fingertips of her right hand the day before her admission. she was treated two weeks earlier for pneumonia with COVID-19. Her clinical pattern resulted in a moderate weakness of the left limbs associated with tactil and algic hypoesthesia in the lower left limb ascending until the C4 level in the left side. Magnetic resonance imaging (MRI) of the brain and spinal cord showed diffuse spontaneous hypersignals on fluid-attenuated inversion recovery (FLAIR) images at the cerebral level and on T2-weighted images at the spinal level. These imaging lesions coupled with the medical history of a recent COVID-19 infection led to the diagnosis of acute disseminated encephalomyelitis (ADEM) post covid-19. The clinical condition improved rapidly with intravenous (IV) corticosteroid therapy and IV immunoglobulin combined with physiotherapy. ADEM is a demyelinating autoimmune disease which is increasingly reported during this current corona virus pandemic.
Author Contributions
Copyright © 2022 Léhleng AGBA, et al.
This is an open-access article distributed under the terms of the Creative Commons Attribution License, which permits unrestricted use, distribution, and reproduction in any medium, provided the original author and source are credited.
Competing interests
The authors have declared that no competing interests exist.
Citation:
Introduction
Acute disseminated encephalomyelitis (ADEM) is a monophasic, multifocal, demyelinating, autoimmune disease that affects the central nervous system (CNS). It usually occurs after a systemic infection, usually viral, including certain coronavirus infections 1. The incidence of ADEM is estimated to be 0.3 to 0.6 cases per 100,000 individuals per year, with a peak incidence during winter and spring 2. The pathogenesis of ADEM is complex. It is thought to be the result of an autoimmune and inflammatory process of the CNS. The hallmark of the pathological findings of postinfectious encephalomyelitis is areas of perivenous demyelination and infiltration of lymphocytes and macrophages. Other changes include hyperaemia, endothelial swelling, and vessel wall invasion by inflammatory cells, perivascular oedema, and haemorrhage 3, 4. The presence of several conditions mimicking ADEM, added to the lack of specific biomarkers, makes diagnosis potentially hard. Prompt diagnosis is necessary to start adequate treatment to improve the clinical course and long-term outcome 2. Since the beginning of the COVID-19 pandemic, many neurologic complications including ADEM have been reported, in both adults and children 5, 6. We report a case of ADEM in a teenage woman who was treated two weeks earlier for coronavirus disease 2019 (Covid-19).
Case Description
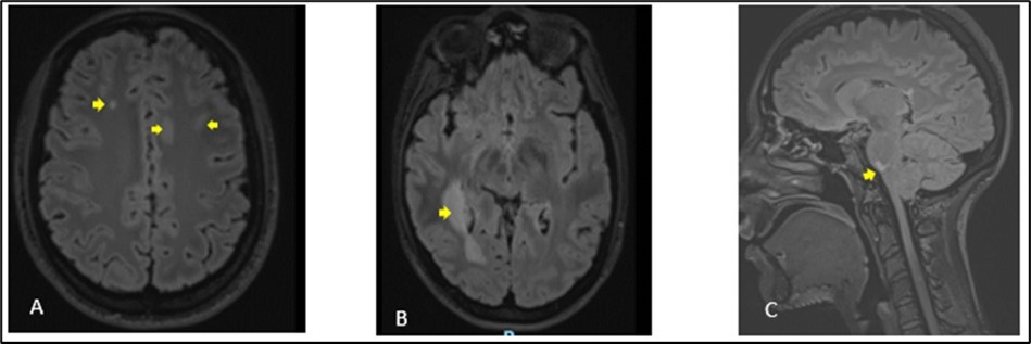
A 27-year-old girl presented at the emergency department, at a hospital in the Paris region on March 9, 2020 with complaints of left interscapular pain, paresthesias and weakness in the ipsilateral upper limb. These symptoms followed paresthesias on the fingertips of her right hand the day before her admission. She did not report fever, sphincter disorder or gait disturbance. No eye symptoms reported. In her medical history, she was treated two weeks earlier for pneumonia with COVID-19. There was no another previous infectious episode apart from the COVID-19. She had no history of diabetes, hypertension, cerebrovascular disease or migraine. She had not history of multiple sclerosis or Neuromyelitis Optica Spectrum Disorder (NMOSD). There was no history of smoking, contraception drugs intake or any prolonged drug intake. On the first examination in the neurology department where she was transferred on the same day of her admission, she had good general condition and was apyretic. She had a pulse rate of 74/min and the blood pressure was at 130/80 mmHg. The neurological evaluation showed on the left side, a muscular weakness grade 4 in the proximal part and grade 3 in the distal part of upper limb, and in the lower limb, the weakness graded at 3 in the distal part, using the Medical Research Council Scale (MRC) for muscle strength. There was no weakness on the right side. Deep tendon reflexes in both left and right were normal. Babinski sign was found on the left side. She presented tactil and algic hypoesthesia in the lower left limb ascending until the C4 level in the left side. There was no perineal sensitive trouble. The remain neurological exam including, higher functions, cranial nerves, was with no particularity. Otherwise, cardiovascular and respiratory systems examination were within normal limits. Blood laboratory tests were within the normal ranges, including complete blood count (CBC), C-Reactive protein, renal and liver functions and blood serum ionogram. Human Immunodeficiency Virus (HIV) tests including p24 antigen and antibodies to HIV were negative. Syphilis serology and Aquaporin 4 antibody were also negative. Encephalic Magnetic Resonance Imaging (MRI) demonstrated scattered hyperintense lesions on FLAIR imaging in deep hemispheric and juxtacortical white matter in supratentorial and in infratentorial floors (Figure 1). Medullary MRI showed T2 hyperintense lesions in left cervical hemi-marrow extending from C3 to C6, at T3, T4, T11 and T12 levels (Figure 2). These lesions were not enhanced after injection of gadolinium. The Cerebrospinal fluid (CSF) appeared to be colorless and clear with no cell detected microscopically; cerebrospinal protein level, 0.4 mg/L, glucose (Glu) level, 3.2 mmol/L; and instant blood glucose level, 5.2 mmol/L. CSF bacterial culture demonstrated no growth after 3 days, and herpes simplex virus 1 and 2, varicella-zoster virus test was negative. Reverse transcription-polymerase chain reaction (RT-PCR) assay test for COVID-19 was negative in the CSF. The final diagnosis was an ADEM secondary to novel coronavirus (nCov) infection. She was given methylprednisolone (1000 mg IV per day for 5 days) followed by Intravenous Immunoglobulin (IVIG) therapy at 0.4 g/kg daily for 5 days. Together with chemotherapy, she received physiotherapy coupled with occupational therapy. The outcome was good with improvement of weakness and paresthesias. There was residual tingling on the fingertips of the left hand. The patient was discharge on day 13.
Figure 1.Cerebral MRI in FLAIR sequences showing multiple hyperintense lesions at the supratentorial (A, B) and infratentorial (C) levels. The largest supratentorial lesion (B) is opposite the right paraventricular white matter, at the level of the posterior horn and measures 55 x 17 mm axially. Presence of a lesion of pons (C) of 6.5 mm.
Figure 2.Sagittal T2-weighted spine MRI showing at cervical level (A), a spontaneous hyperintense lesion of 5 cm from C3 to C6 and at thoracic level (B), a spontaneous hyperintense lesion of 1.5 cm from T11-T12
Discussion
We have described a case of ADEM post COVID-19 infection in a 27-year-old girl who was taken care of in a hospital in the Paris region. She was treated in the same hospital 2 weeks earlier for an acute respiratory distress syndrome caused by COVID-19 infection. The period of the study was at the beginning of the outbreak of COVID-19 infection in France. COVID-19 is a new entity caused by the severe acute respiratory syndrome coronavirus 2 (SARS CoV-2). It is known to cause respiratory complications, from mild upper respiratory symptoms to acute respiratory failure. ADEM is an immune-mediated inflammatory disorder of the CNS characterized by a widespread demyelination that predominantly involves the white matter of the brain and spinal cord. The condition is usually precipitated by a viral infection or vaccination 7. For this, it is also named post-infectious encephalomyelitis. The infection typically comes before the onset of symptoms of approximately 2 days to 4 weeks 8. This was the case of our patient who presented two weeks before the onset of neurological symptoms, a pulmonary infectious episode for which the etiological research revealed a COVID-19 infection. The pathological abnormalities during ADEM are post-infectious changes of immune origin affecting the central nervous system. These changes are present in the small blood vessels of both white and grey matters. As the lesions become older, the macrophages increase and lymphocytes decrease in number. At a late stage of disease foci of fibrillary fibrosis can also be seen in adjacent brain tissue. Although postinfectious encephalomyelitis typically involves the white matter, lesions in grey matter have also been seen and may involve basal ganglia and the thalamus 3, 4. Due to the impossibility to perform an anatomopathological examination in our patient, MRI of the CNS constitute a reliable tool to translate the diffuse CNS damages of the brain as well as of the marrow. These elements are well presented on the imaging performed by our patient (Figures 1, 2). There is a lack of detection in CSF in most cases besides evident inflammation. This raises the possibility that the majority of ADEMs associated with COVID-19 could be the result of immune-mediated mechanisms or molecular mimicry which generates an aberrant neuro-inflammatory loop, so the virus does not need to cross the blood-brain barrier to cause damage to the CNS 9. As with ADEM occurring after other viral infections, the mechanism would be the same in the case of COVID-19 infection. The presence or history of any other systemic infection, particularly viral, would have made the diagnosis unlikely. As the patient had no other infection apart from COVID-19 in the days preceding the neurological symptoms, it is therefore perfectly legitimate to consider this infectious episode as the trigger for the cascade of immune reactions at the origin of the neurological symptoms. In most cases, ADEM has a monophasic course and is self-limiting, with return to neurological baseline within 3 months after the onset of symptoms. Occasionally, a subset of ADEM patients with relapsing disorders, including recurrent disseminated encephalomyelitis (RDEM), multiphasic disseminated encephalomyelitis (MDEM), neuromyelitis optica spectrum disorders (NMOSD), and multiple sclerosis have been reported 10. The clinical presentation is heterogeneous. Typically, patients show prodromal symptoms such as fever, headache, malaise, nausea, and vomiting. The acute phase occurs with encephalopathy, characterized by altered behavior including irritability, confusion and consciousness like lethargy, stupor, or coma associated with multifocal or focal neurological deficits depending on the area involved in the demyelinating process 11. Other neurological findings have been reported in ADEM related to COVID 19. Laura Zelada-Ríos reported in 2021 pyramidal signs (44.4%), brainstem signs (11.1%), cerebellar signs (22.2%), seizures (33.3%) and peripheral nerve compromise (11.1%) 12. ADEM in COVID 19 pediatric patients have been also reported in children 6, 13. MRI plays a key role in the diagnosis of ADEM and should be performed as soon as it is suspected. The typical findings are identified as lesions with signal hyper-intensity in FLAIR and T2 sequences, they are usually multiple, asymmetric, irregular, poorly defined, and greater than 2 cm. In general, the white matter is affected, although it may involve the deep gray matter, the brainstem, the cerebellum, and the spinal cord 12. MRI is also used to consider differential diagnoses 14 multiple sclerosis (MS), neuromyelitis optica (NMO), and neuromyelitis optica spectrum disorder (NMOSD), which can overlap with ADEM in presentation 15. Among these previous diagnoses, multiple sclerosis remains the most important differential diagnosis of ADEM. Both clinically and paraclinically, these 2 pathologies share almost the same criteria. Thus, Swharz et al, in a cohort of 40 patients, fail to identify any exclusive feature characteristic of either condition. Similarly, cerebrospinal fluid findings are not distinctive enough to allow differentiation between ADEM and multiple sclerosis in a single patient. Even MRI studies were not able to differentiate ADEM from multiple sclerosis. Approximately, 50% of the patients with ADEM had MRI features that were suggestive of multiple sclerosis. however, fever, loss of consciousness, and meningism are infrequently observed but are highly suggestive of ADEM because these symptoms are rare in multiple sclerosis 16. It results from this study of Swharz, that the chronology of the neurological symptoms with a pre-existing systemic infection, viral especially constitutes a very determining profile. These data of the interrogation were at the base of the diagnosis of ADEM post covid of our patient more especially since there were no clinical or paraclinical arguments in favor of another potential differential diagnosis, that is Devic's neuromyelitis optica. Differences exist between encephalitis associated with COVID-19 and ADEM associated with COVID-19, one of them is temporality. Unlike ADEM, neurological symptoms usually appear simultaneously with respiratory symptoms in COVID-19-associated encephalitis. Brain inflammation expressed by pleocytosis is more frequent in encephalitis associated with COVID-19 17. Sharing the same pathophysiological mechanisms as other post-infectious encephalomyelitis, the principles of the treatment of post-COVID ADEM therefore remain similar. The treatment of ADEM is targeted to suppress a presumed aberrant immune response to an infectious agent or a vaccination. Treatment with intravenous corticosteroids (methylprednisolone) or adrenocorticotrophic hormone in large doses has been shown to improve the outcome 18, 19. Corticosteroids are usually associated with plasmapheresis and intravenous immunoglobulin. This association have been shown to produce dramatic improvement in some cases where corticosteroids have failed 16. In some cases, cytotoxic agents have been used with success 18. Functional rehabilitation as a support treatment is a useful contribution even if the publications do not usually mention it. Regarding clinical outcomes, it is generally favorable in the cases of ADEM. This was the case of our patient as well as the results reported by L. Zelada-Ríos et al. 12.
Conclusion
ADEM is an autoimmune disease that is characterized by demyelinating damage to various components of the CNS. It appears in the aftermath of a viral infection which is the notion that should be considered when managing a case of ADEM. Although MRI is the confirming examination, revealing demyelinating lesions of the gray and white matter of the brain and the white matter of the spine, the questioning must always be kept in mind in order to eliminate the main differential diagnosis which is multiple sclerosis. The elimination of the latter is almost impossible on MRI. Other potential differential diagnoses can only be ruled out by specific biological tests in the CSF as well as in the blood. Early treatment of ADEM bases on Intravenous methylprednisolone followed by Intravenous Immunoglobulin guarantees a better outcome.
References
- 1.E A Yeh, Collins A, M E Cohen, P K Duffner, Faden H. (2004) Detection of coronavirus in the central nervous system of a child with acute disseminated encephalomyelitis. , Pediatrics 113, 73-76.
- 2.Massa S, Fracchiolla A, Neglia C, Argentiero A, Esposito S. (2021) . Update on Acute Disseminated Encephalomyelitis in Children and Adolescents. Children 8-280.
- 3.L van Bogaert. (1950) Post-infectious encephalomyelitis and multiple sclerosis : the significance of perivenous encephalomyelitis. , J Neuropathol Exp Neurol 9, 219-49.
- 4.Allen. (1984) Demyelinating diseases," Greenfield’s neuropathology. 4th Ed In:. Adams JH, Corsellis JAN, Duchen LW, eds , London: Edward Arnold 338-84.
- 5.Parsons T, Banks S, Bae C. (2020) COVID-19-associated acute disseminated encephalomyelitis (ADEM). , J Neurol 267, 2799-2802.
- 6.AM de Miranda Henriques-Souza, de Melo ACMG, B de Aguiar Coelho Silva Madeiro. (2021) Acute disseminated encephalomyelitis in a COVID-19 pediatric patient. , Neuroradiology 63, 141-145.
- 7.Tenembaum S, Chitnis T, Ness J, J S Hahn. (2007) Acute disseminated encephalomyelitis," Neurology. 68(16), 23-36.
- 9.Franke C, Ferse C, Kreye J, S M Reincke, Sanchez-Sendin E et al. (2021) High frequency of cerebrospinal fluid autoantibodies in COVID-19 patients with neurological symptoms," Brain Behavior and Immunity. 93-415.
- 10.J D Santoro, Chitnis T. (2019) Diagnostic Considerations in Acute Disseminated Encephalomyelitis and the Interface with MOG Antibody," Neuropediatrics. 50, 273-279.
- 11.Steiner I, Kennedy P G E. (2015) Acute disseminated encephalomyelitis: Current knowledge and open questions. , J. Neurovirol 21, 473-479.
- 12.Zelada-Ríos L, Pacheco-Barrios K, Galecio-Castillo M, Yamunaqué-Chunga C, Álvarez-Toledo K et al. (2021) Acute disseminated encephalomyelitis and COVID-19: A systematic synthesis of worldwide cases. , Journal of neuroimmunology 359, 577674.
- 13.L A Mc, C K Rao, C Da Hora, Islamovi F, F N Galan. (2021) Post–COVID-19 Acute Disseminated Encephalomyelitis in a 17-Month-Old," Pediatrics. 147-6.
- 14.Tenembaum S, Chamoles N, Fejerman N. (2002) Acute disseminated encephalomyelitis: a long-term follow-up study of 84 pediatric patients," Neurology. 59-1224.
- 15.Anilkumar A C, Foris L A, Tadi P. (2020) Acute Disseminated Encephalomyelitis; Stat Pearls Publishing: Treasure Island. , FL, USA
- 17.M A Ellul, Benjamin L, Singh B, Lant S, Michael B et al. (2020) Neurological associations of COVID-19. , Lancet Neurol 19, 767-83.
Cited by (1)
This article has been cited by 1 scholarly work according to:
Citing Articles:
Scholars Journal of Medical Case Reports (2022) OpenAlex
